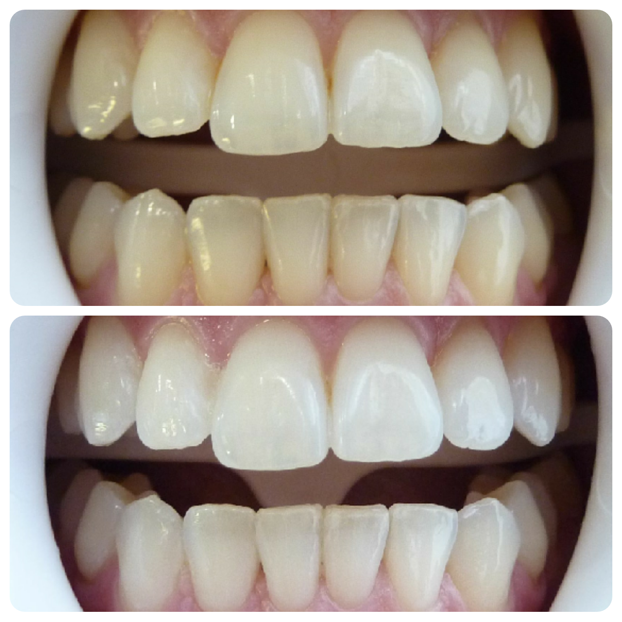
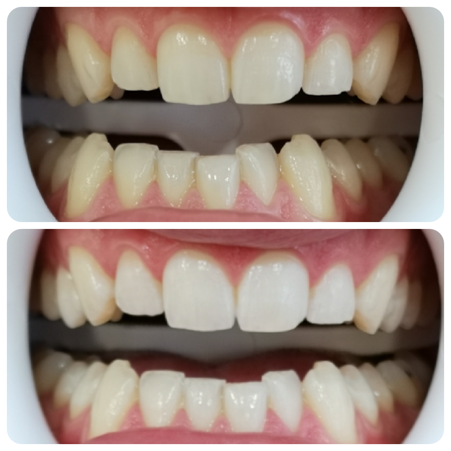
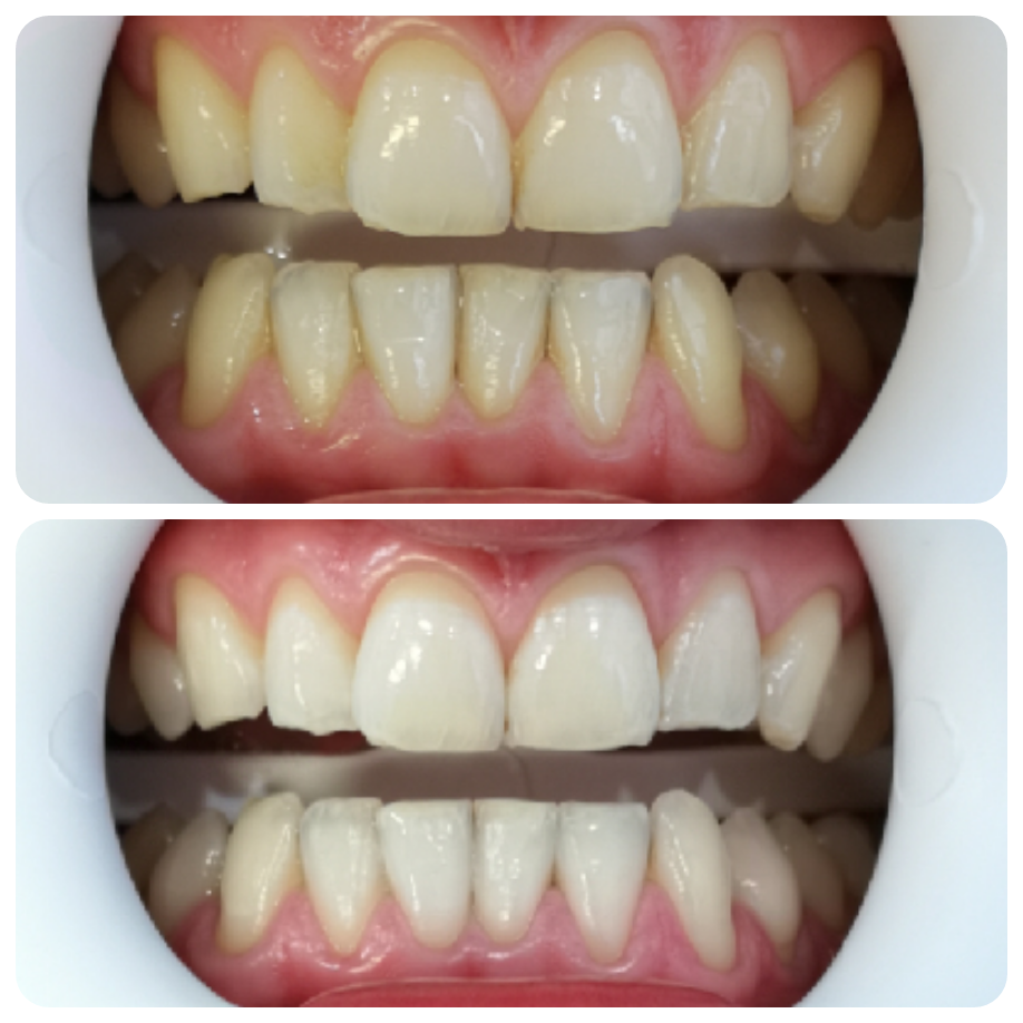
Toutes les photos ci-dessous ont été prises à notre clinique. . La longévité du résultat dépend de votre mode de vie et de votre hygiène bucco-dentaire. Évitez les aliments et autres boissons pouvant colorer vos dents.